Close Menu
OziDent
    Facebook X (Twitter) Instagram
    Latest Post
    • Botox & Fillers in Your Dental Practice: The UAE Regulatory Roadmap Every Dentist Needs
    • Perfectionism and Fear of Failure in Clinical Practice: Evidence-Based Strategies for Healthcare Professionals
    • First Impressions in Pediatric Dentistry: How Appearance and Behavior Shape a Child’s Experience
    • What Truly Motivates Dentists? 8 Key Driving Forces Behind the Grin
    • From Burnout to Balance: Discovering Ikigai in the Life of a Dentist
    • Adult ADHD Dentist
    • Marketing Strategies for Endodontists!
    • 7 Proven Ways to Gain New Dental Patients in the UAE
    Facebook X (Twitter) Instagram
    OziDent
    • Home
    • Articles
      • Education & Licensing
    • Contact Us
      • Authors
      • F.A.Q.
      • Privacy Policy
      • Affiliations
      • Site Map
      • Our Principles
    • Send Your C.V.
    • Register / Login
    • Dr.Ozaibi د.العزيبي
    • Dental Buys
    OziDent

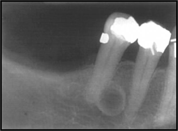
    Lateral Radicular Cyst

    0
    By Dr. Mohsen Saeed Ozaibi on September 3, 2013

    Share. Facebook Twitter Pinterest LinkedIn Tumblr Email
    Avatar photo
    Dr. Mohsen Saeed Ozaibi
    • Facebook
    • X (Twitter)
    • LinkedIn

    Mohsen Saeed Al Ozaibi, BDS, MBA. A Dentist at Bani Yas Medical Clinic and at Emirates Jordanind Medical Center, Founder of OziDent.com. Graduated in 2009 with a Bachelor's Degree in Dental Science from Misr International University and a Master's degree in Business and Administration from the University of the People. A veteran in digital dental content publishing and marketing.

    Related Posts

    Botox & Fillers in Your Dental Practice: The UAE Regulatory Roadmap Every Dentist Needs

    Perfectionism and Fear of Failure in Clinical Practice: Evidence-Based Strategies for Healthcare Professionals

    First Impressions in Pediatric Dentistry: How Appearance and Behavior Shape a Child’s Experience

    Leave A Reply Cancel Reply

    You must be logged in to post a comment.

    Login Status
    Forgot?  Register
    CV Creating for Dentists
    Join Our Study Group
    National Dental Board Exam Study Group
    Recent Posts
    March 29, 2026

    Botox & Fillers in Your Dental Practice: The UAE Regulatory Roadmap Every Dentist Needs

    January 18, 2026

    Perfectionism and Fear of Failure in Clinical Practice: Evidence-Based Strategies for Healthcare Professionals

    January 14, 2026

    First Impressions in Pediatric Dentistry: How Appearance and Behavior Shape a Child’s Experience

    May 4, 2025

    What Truly Motivates Dentists? 8 Key Driving Forces Behind the Grin

    April 18, 2025

    From Burnout to Balance: Discovering Ikigai in the Life of a Dentist

    September 14, 2024

    Adult ADHD Dentist

    Login Status
    Forgot?  Register
    Help Support Ozident
    About OziDent

    We are a Group of enthusiastic dentists and dental specialist who share a common goal of giving back to the public.

    Top Posts
    • Botox & Fillers in Your Dental Practice: The UAE Regulatory Roadmap Every Dentist Needs
    • Perfectionism and Fear of Failure in Clinical Practice: Evidence-Based Strategies for Healthcare Professionals
    • First Impressions in Pediatric Dentistry: How Appearance and Behavior Shape a Child’s Experience
    Instagram

    [instagram-feed feed=1]

    All Rights Reserved to the respected Sources, OziDent 2012 - 2023 | Created and Designed by OziTect.com | Protected and Managed by DMCA.com Protection Status

    Type above and press Enter to search. Press Esc to cancel.

    Manage Cookie Consent

    The website uses cookies to improve your browsing experience and show ads. If you consent, it may process data like browsing behavior and device IDs; without consent, some features may not work properly.

    Functional Always active
    The technical storage or access is strictly necessary for the legitimate purpose of enabling the use of a specific service explicitly requested by the subscriber or user, or for the sole purpose of carrying out the transmission of a communication over an electronic communications network.
    Preferences
    The technical storage or access is necessary for the legitimate purpose of storing preferences that are not requested by the subscriber or user.
    Statistics
    The technical storage or access that is used exclusively for statistical purposes. The technical storage or access that is used exclusively for anonymous statistical purposes. Without a subpoena, voluntary compliance on the part of your Internet Service Provider, or additional records from a third party, information stored or retrieved for this purpose alone cannot usually be used to identify you.
    Marketing
    The technical storage or access is required to create user profiles to send advertising, or to track the user on a website or across several websites for similar marketing purposes.
    • Manage options
    • Manage services
    • Manage {vendor_count} vendors
    • Read more about these purposes
    View preferences
    • {title}
    • {title}
    • {title}